(716) 772-7500
info@drkaplansky.com
8038 Rochester Rd. Gasport NY
Transform Your Smile with Permanent, Natural-Looking Teeth
Get the smile you’ve always wanted with TeethNow — our exclusive zirconia dental implant solution. From single-tooth replacements to full-mouth restorations, including complex cases with zygomatic implants, we deliver confidence and comfort with every smile. Start your journey today with a free consultation and discover the personalized care you deserve.
Restore your smile with durable, natural-looking implants tailored to fit your lifestyle.
A specialized solution for patients with severe bone loss — offering stability when traditional implants aren’t an option.
Experience full-mouth restorations with TeethNow — a custom zirconia implant solution designed for permanent results.
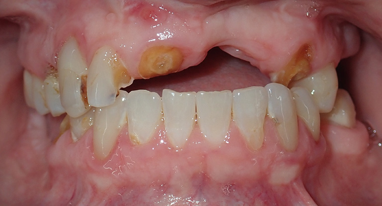
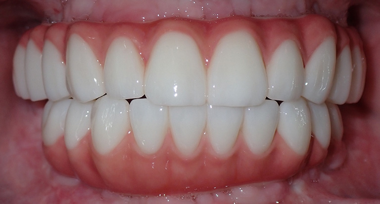
See real patient transformations and the incredible results achieved with our advanced implant treatments.
Dr. Kaplansky is the only dentist in the Buffalo/Niagara region certified to perform advanced zygomatic dental implants. As 1 of only 11 specialists in the United States and 1 of 60 worldwide certified by ZAGA Zygoma, Dr. Kaplansky delivers a trusted solution for patients needing secure, long-lasting dental implants—even in the most complex cases.
Serving Buffalo, Rochester, and the surrounding New York areas with unmatched expertise.

We create personalized treatment plans based on your unique dental goals and needs for the best outcome.
DDS, DABOI, FAAID, FICOI, FAGD
Dr. Igor V. Kaplansky’s exceptional qualifications set the standard in implant dentistry.
Qualifications:
We've thoughtfully designed every step of your dental experience, ensuring personalized care, comfort, and support from your first consultation to your final smile.

At Dentistry by Dr. Kaplansky, we know that every patient is unique. That’s why we tailor each treatment plan to fit your individual needs and preferences, ensuring you get the personalized care you deserve.

Your dental health is our top priority. Our experienced team is dedicated to providing the highest level of care, using advanced techniques and technology to deliver exceptional results for every patient.

Cost should never stand in the way of your dental health. That’s why we offer a variety of flexible financing options to make our high-quality services accessible and affordable for everyone.

Whether you need routine cleanings or complex dental procedures, we’ve got you covered. Our full range of services ensures you receive the best care possible, tailored to your specific needs. Schedule your consultation today to get started!
If you’re searching for a reliable, natural-looking solution for missing teeth, TeethNow implants are designed to deliver. Anchored securely in your jawbone, they offer superior stability and durability compared to traditional dentures or bridges. While the upfront investment may be higher, the long-term benefits make implants a lasting choice you can trust.

We know every patient’s needs are unique. That’s why at Dentistry by Dr. Kaplansky, we start by listening to your specific concerns and goals. Drawing from advanced technology and personalized care strategies, we design a tailored treatment plan that delivers the best results — whether you need routine care, full-mouth implants, or specialized solutions like zygomatic implants.
Dr. Kaplansky works alongside referring dentists to deliver precise, predictable implant treatment.
Submit your patient’s information below and our team will follow up promptly to coordinate care.
Dr. Kaplansky and his team provide quality dental care to patients in a friendly and comfortable environment. We understand that every patient is different, which is why we tailor each treatment plan to fit the individual patient. Our goal is to provide our patients with the best possible care so they can enjoy a healthy smile for life!

DDS, DABOI, FAGD, FICOI
Board Certified
Dental Implant Specialist

Local Dentist Named Board Certified Diplomate in Implant Dentistry


DDS
General Dentistry
Cosmetic Dentistry
Pediatric Dentistry
Discover why patients trust Dentistry by Dr. Kaplansky for their dental care. Read real reviews and see how our commitment to personalized, high-quality treatment has transformed their smiles and lives.
EXCELLENTBased on 1170 reviewsPosted onYvonne ZiembaOctober 22, 2025Trustindex verifies that the original source of the review is Google. I have been going to this dental practice for years, what keeps me coming back is the friendly professional staff. This time I throughly enjoyed Mary Beth the dental hygienist, she made it so fun and relaxing to be there!! Thank you!Posted onAndrea SnyderOctober 21, 2025Trustindex verifies that the original source of the review is Google. I went to this office for a Consultation. The people that I met with were not only knowledgeable but extremely nice. This went from the receptionist to the doctors. I would highly recommend this office to anyone.
Owner's reply
Thank you so much Andrea! We look forward to seeing you for your future visits. Your referrals are greatly appreciated!Posted onanna hortonOctober 17, 2025Trustindex verifies that the original source of the review is Google. Got got an appointment quickly got the work done that needed to be done in one appointment. Well done thank youPosted onDiana ConnollyOctober 15, 2025Trustindex verifies that the original source of the review is Google. The appointment was very good, coming along, cant wait fir the fi al results. Thank you. Edward
Owner's reply
Thank you for your positive review, Diana! We're thrilled to hear that your appointment was informative and helped in your decision-making. Your experience is important to us, and we appreciate your trust. We look forward to seeing you again! Thank you so much!Posted onOlga KisliukOctober 15, 2025Trustindex verifies that the original source of the review is Google. Great place, nice people, affordable pricePosted onTed OkileyOctober 15, 2025Trustindex verifies that the original source of the review is Google. Meant the doctor today. he explained to me a lot of things. I never knew I trusted his opinion and hopefully I’ll be able to work with him more in the future. It was just a consultation.Posted onStephany ColesOctober 14, 2025Trustindex verifies that the original source of the review is Google. Phenomenal experience yet again! Kind, caring, considerate , amazing "bed side " (chair) manners. I have never felt more comfortable and confident going to the dentist. Never been a fan of my smile and this place is working with me to change that!! Thanks Dr. AG.Posted onMichaeleen BoudemanOctober 10, 2025Trustindex verifies that the original source of the review is Google. From the time you walk in the door to the time you leave you are made comfortable. You are made aware of all involved in your procedure also. I appreciate that..and I adore my dentist. She is amazing as she walks you through your procedure..Verified by TrustindexTrustindex verified badge is the Universal Symbol of Trust. Only the greatest companies can get the verified badge who has a review score above 4.5, based on customer reviews over the past 12 months. Read more



Am so glad I made the hour drive. Being someone who's teeth never developed their own enamel, I have spent many years in dentist getting fillings, root canals and extractions. This has resulted in severe anxiety over dentist visits. The care and attention in Dr Kaplansky's office was professional, calming and honestly the best experience I have had at the dentist. Fully recommend them to anyone needing help. The drive is worth it!
Douglas Foster


Best Dental experience EVER! Staff is so friendly and very professional. Dr Kaplansky knows his craft. He and his staff are definitely worth their price. Wish I had gone to him sooner. You will not go wrong if you utilize his services.❤️❤️❤️❤️
Wilda Lerczak
Missing teeth or loose dentures? TeethNow and Zygomatic Implants offer reliable, lasting solutions to restore your smile and confidence.
With options like same-day TeethNow or Zygomatic Implants for severe bone loss, you can enjoy a secure, comfortable fit without the hassle of traditional dentures.

TeethNow Dental Implants offer a quick, innovative solution to replace a full arch of teeth and transform your smile in one visit.

Zygomatic implants, are anchored in the dense zygomatic bone, making them ideal for patients with significant bone loss.
Easily accessible in the heart of the Buffalo, NY and Niagara region, our welcoming office is ready to provide top-quality care with a personalized touch. Come see us and start your journey to a healthier smile.
I had the teeth now zygomatic implants done last week and even though i only have the temporary "healing teeth" so far, they are beautiful and I am healing wonderfully! I was worried I would not still look like myself or that the teeth would be ugly or have that obvious denture look but they don't! They did such a great job! There are a few adjustments to make for the final product in a few months but I am amazed at how great they look! Dr. Kaplansky is amazing and the staff is great. I was very nervous going into this process because there is no turning back but if the temporary version looks this good, I have complete faith that the permanent teeth will be beautiful. I can smile again without being self conscious! If you are worried about pulling the trigger on this procedure, don't be. You will be in great hands! Update: I just got my permanent teeth and they are beautiful! (Second pic is the final result) Dr. Kaplansky is great and made sure I was comfortable and happy with the work every step of the way. I am so thankful for him and his staff, they have given me a gorgeous smile that is perfection but also looks so natural at the same time. Thank you guys so much!
Laura Shotwell