
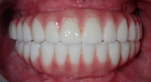
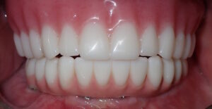
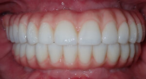
What Are Zirconia Dental Implants and Who Are They Best For?
Zirconia dental implants offer a metal-free solution that combines natural aesthetics, high strength, and exceptional biocompatibility for long-term tooth replacement. Patients often worry about gray