(716) 772-7500
info@drkaplansky.com
8038 Rochester Rd. Gasport NY
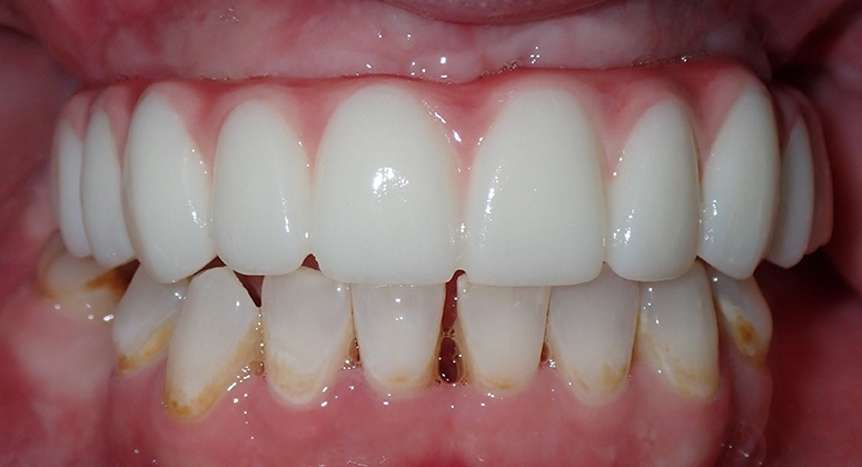
At Dentistry by Dr. Kaplansky, we believe every smile has a story, and we’re here to help yours shine. Our dental implants before and after gallery showcases real patients who have restored their smiles and confidence through our advanced dental implant treatments. Whether you’re missing one tooth or need a full-mouth reconstruction, our team is dedicated to delivering life-changing results.

EXCELLENTBased on 1170 reviewsPosted onYvonne ZiembaOctober 22, 2025Trustindex verifies that the original source of the review is Google. I have been going to this dental practice for years, what keeps me coming back is the friendly professional staff. This time I throughly enjoyed Mary Beth the dental hygienist, she made it so fun and relaxing to be there!! Thank you!Posted onAndrea SnyderOctober 21, 2025Trustindex verifies that the original source of the review is Google. I went to this office for a Consultation. The people that I met with were not only knowledgeable but extremely nice. This went from the receptionist to the doctors. I would highly recommend this office to anyone.
Owner's reply
Thank you so much Andrea! We look forward to seeing you for your future visits. Your referrals are greatly appreciated!Posted onanna hortonOctober 17, 2025Trustindex verifies that the original source of the review is Google. Got got an appointment quickly got the work done that needed to be done in one appointment. Well done thank youPosted onDiana ConnollyOctober 15, 2025Trustindex verifies that the original source of the review is Google. The appointment was very good, coming along, cant wait fir the fi al results. Thank you. Edward
Owner's reply
Thank you for your positive review, Diana! We're thrilled to hear that your appointment was informative and helped in your decision-making. Your experience is important to us, and we appreciate your trust. We look forward to seeing you again! Thank you so much!Posted onOlga KisliukOctober 15, 2025Trustindex verifies that the original source of the review is Google. Great place, nice people, affordable pricePosted onTed OkileyOctober 15, 2025Trustindex verifies that the original source of the review is Google. Meant the doctor today. he explained to me a lot of things. I never knew I trusted his opinion and hopefully I’ll be able to work with him more in the future. It was just a consultation.Posted onStephany ColesOctober 14, 2025Trustindex verifies that the original source of the review is Google. Phenomenal experience yet again! Kind, caring, considerate , amazing "bed side " (chair) manners. I have never felt more comfortable and confident going to the dentist. Never been a fan of my smile and this place is working with me to change that!! Thanks Dr. AG.Posted onMichaeleen BoudemanOctober 10, 2025Trustindex verifies that the original source of the review is Google. From the time you walk in the door to the time you leave you are made comfortable. You are made aware of all involved in your procedure also. I appreciate that..and I adore my dentist. She is amazing as she walks you through your procedure..Verified by TrustindexTrustindex verified badge is the Universal Symbol of Trust. Only the greatest companies can get the verified badge who has a review score above 4.5, based on customer reviews over the past 12 months. Read more
“I had the teeth now zygomatic implants done last week and even though i only have the temporary “healing teeth” so far, they are beautiful and I am healing wonderfully! I was worried I would not still look like myself or that the teeth would be ugly or have that obvious denture look but they don’t! They did such a great job! There are a few adjustments to make for the final product in a few months but I am amazed at how great they look! Dr. Kaplansky is amazing and the staff is great. I was very nervous going into this process because there is no turning back but if the temporary version looks this good, I have complete faith that the permanent teeth will be beautiful. I can smile again without being self conscious! If you are worried about pulling the trigger on this procedure, don’t be. You will be in great hands!”

Missing or damaged teeth can impact your confidence, oral health, and overall well-being. Dental implants offer a permanent, natural-looking solution that not only restores the appearance of your smile but also improves function and durability. Key benefits include:
Seeing is believing. Browse through our interactive slider gallery to witness the remarkable transformations our patients have experienced. These images highlight the dramatic changes dental implants can make.
Each photo in our gallery features actual Dentistry by Dr. Kaplansky’s patients, who trusted us to restore their smiles. Click and slide to see their incredible journeys!





























When you choose Dentistry by Dr. Kaplansky, you’re choosing personalized care and exceptional results. Our process begins with a comprehensive consultation to discuss your goals and create a custom treatment plan. With state-of-the-art technology and a compassionate approach, we’ll guide you through every step of your dental implant journey.































































